随着机器人机械臂
精准停驻
一场与死神赛跑的
脑部“拆弹”行动
在泰达医院手术室展开
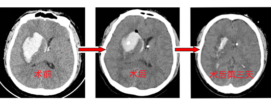
患者李先生突发脑出血陷入昏迷,CT影像上,血肿像定时炸弹般压迫着生命中枢。令人惊叹的是,神经外科团队启用的手术机器人,仅用2小时就完成传统需要开颅6小时的高危手术,在发丝粗细的误差范围内打通“生命通道”。标志着泰达医院在神经外科智能医疗领域取得突破性进展。
生死时速3小时
43岁的李先生突发意识障碍伴左侧肢体瘫痪3小时紧急入院,CT检查显示右侧基底节区出血量达50ml,血肿已破入脑室,病情危重。经评估,神经外科团队果断启用最新“黑科技”:神经外科手术机器人系统,行脑血肿穿刺抽吸技术。

(手术计划)

(术前Mark CT定位)
2小时创造生命奇迹
主治医师汤其华利用机器人的引导,精准定位穿刺小骨孔,完成对血肿的抽吸,仅用2小时便完成手术,不仅快速解除血肿压迫,又避免传统穿刺的定位偏差问题。

(术中)
术中成功清除30ml血肿,成功的将引流管的头端,精确的放置于脑出血的中心,术后患者生命体征平稳,肌力有所恢复(左上肢肌力恢复至2级,左下肢肌力恢复至3级)。


目前
泰达医院已完成多例
机器人辅助脑出血手术
均取得良好预期
“硬核员工”改变“游戏规则”
脑出血作为脑卒中最凶险类型,具有30—50%的急性期死亡率。具有进展快、起病急、病死率及致残率较高等特征,严重威胁着患者生命安全。手术风险大,并发症多,多数预后不良。
主治医师汤其华表示:
传统开颅手术需要4—6小时,且大多数需二期颅骨修补,手术创伤大。机器人辅助技术将手术时间缩短50%,不仅降低了对其他功能器官的影响,更能快速清除颅内出血,有效避免脑组织二次损伤,为患者功能恢复奠定基础。
泰达医院本次采用的机器人脑血肿穿刺抽吸技术,具有操作简单、定位精准、路径合理、创伤微小、耗时短暂等优势,是目前国际上治疗脑出血的最为有效治疗方法。泰达医院将推动智能医疗技术,惠及更多危重患者。
这场医疗界的“科技革命”
正让更多患者
获得“重启人生”的机会
这些信号是身体在“报警”!
脑出血发生的原因主要与脑血管的病变有关,即与高血脂、糖尿病、高血压、血管老化、吸烟等密切相关。
此类慢性病患者应定期进行脑血管评估,出现突发剧烈头痛、肢体麻木等症状需立即就医。脑出血救治存在“黄金6小时”时间窗,及时干预可显著改善预后。