当科技深度融入生活
医疗领域也迎来变革
在泰达医院
会做手术的机器人
登上医学舞台
精准“操刀”硬核发力
为患者带来新希望

为提高脑干出血救治成功率,改善功能预后,造福广大患者,泰达医院创新开展新手术项目“手术机器人定位脑干血肿穿刺引流术”,率先引进神经外科手术机器人行脑干血肿穿刺抽吸技术,日前,成功实施新区首例机器人手术,救治了一名脑干出血的危重病人,用科技力量助力智慧医疗。
病情危重
机器人辅助挽救生命
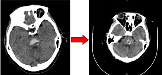
日前,一名50岁女性患者因“突发意识丧失1.5小时”被送到泰达医院就医。到医院时,血压210/103mmHg,为神志昏迷状态,呼吸微弱,头部CT检查可见脑干出血,病情极其危重,随时可能出现呼吸暂停而导致患者脑功能不可逆损伤。
与此同时,脑干出血位置极深,手术路径遥远,常规开颅手术创伤较大,难度风险极高,也可能加重患者神经组织损伤。此外,开颅手术时间较长,对患者身体功能状态要求较高。
为挽救患者生命,同时改善患者功能预后,泰达医院神经外科立即为患者进行了机器人脑干血肿穿刺抽吸术。专家团队迅速制定手术计划,手术前应用计算机进行精确的手术路径设计,避开重要神经功能区及血管,以最小的创伤及路径,达到彻底清除血肿的目的。


在机器人导航定位下,一根长约10cm引流管的头端精确放置于脑干出血的中心位置,并抽出2ml颅内血肿,减轻了血肿对脑干组织的压迫及损伤。
经过引流管的持续抽吸及引流,仅仅经过36个小时,患者颅内血肿被大部分清除。随后复查CT,可见血肿基本消失。术后第三天,患者已可自动睁眼,脱离呼吸机,恢复自主呼吸。

科技赋能
泰达医院创新医疗技术
该手术顺利完成,挽救了患者生命。同时,该手术也极大减少了手术时间,把以往需要4—6小时的开颅手术时间,缩短到1小时左右,减少了长时间手术对于患者其他功能器官的影响。
据了解,脑干出血是神经外科风险最高、症状最重、病死率和致残率最高的疾病,严重威害患者生命安全。由于手术风险大、难度高、术后并发症多,往往成为神经外科手术的禁区,以往多采用保守治疗,多数预后不良。
随着科技的进步,手术机器人应运而生。泰达医院本次采用的机器人脑干血肿穿刺抽吸技术具有操作简单、定位精准、路径合理、创伤微小、耗时短暂等优势,是目前国际上治疗脑干出血的最为有效治疗方法,将会让更多的脑出血患者受益,显著改善患者预后,提高生活质量。