膝关节骨性关节炎是一种中老年人的常见病,是引起中老年患者膝关节疼痛的常见原因,主要以关节软骨变性和丢失及关节边缘和软骨下骨骨质再生为特征,常导致膝关节疼痛、活动障碍以及膝关节畸形等,严重影响中老年人的日常生活。随着我国人口老龄化进程加剧,膝关节骨性关节炎的发病率增加,对膝关节骨性关节炎的阶梯治疗尤其是保膝治疗也变得极为重要,近年来,随着患者术后快速康复理念的发展,微创技术越来越受到众学者的关注,作为保膝手术的"主力军"——单髁置换术的临床应用率也逐渐上升。
近日,泰达医院成功完成滨海新区首例膝关节外侧单髁置换手术,标志着我院骨科膝关节骨关节炎的保膝治疗向微创化、精准化方向再进一步。
患者王某,70岁,因右侧膝关节疼痛,行走困难5年就诊于泰达医院骨五科。检查发现,王某右侧膝关节轻度肿胀,外翻畸形,外侧关节间隙压痛,膝关节屈伸活动受限。
结合患者影像资料,确诊右膝骨性关节炎。鉴于患者高龄,且患有高血压等多种基础疾病,李永全主任协调多学科医疗团队评估病情后,决定为患者行微创右膝关节外侧单髁置换手术。
骨五科医生团队联合天津医院专家,在麻醉科马浩南主任的配合下,为患者施行了微创右膝外侧单髁置换手术。

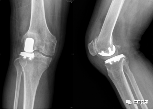
术前

术后
手术保留了内侧半月板及前后交叉韧带,保留了膝关节大部分的骨质,不切股四头肌,不翻髌骨,不干扰伸膝结构,减少了对股四头肌的损伤。患者术后第二天开始下地活动,现已康复出院,恢复良好。
骨五科主任李永全介绍:单髁置换为微创手术,符合现代保膝理念,和全膝关节置换相比,保留了原有的前后交叉韧带及正常的间室,具有手术创伤小、出血少、手术时间短、风险小、恢复快等优点,并发症发生率(如住院时长、血栓栓塞、心肌梗死、中风等)较低。大部分患者术后2-3周即能恢复正常行走,再经过一段时间的康复训练,运动会更加协调自如,感觉和正常关节并无明显差异,甚至容易将这次手术"遗忘"。
近年来,泰达医院骨五科在李永全主任的带领下,先后与北京积水潭医院、天津医院合作,开展了大量胫骨近端高位截骨(HTO)、膝关节内侧单髁置换等微创保膝手术,均取得满意疗效。由于膝关节外侧骨性关节炎少见,此次手术的成功开展,标志着泰达医院保膝治疗迈上了一个新的台阶。